SAM THORASITE Training
View ProductINFORMATION & SUPPORT MATERIALS
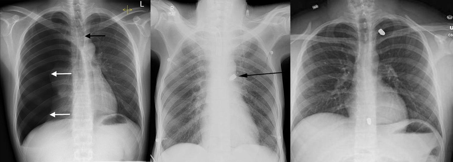
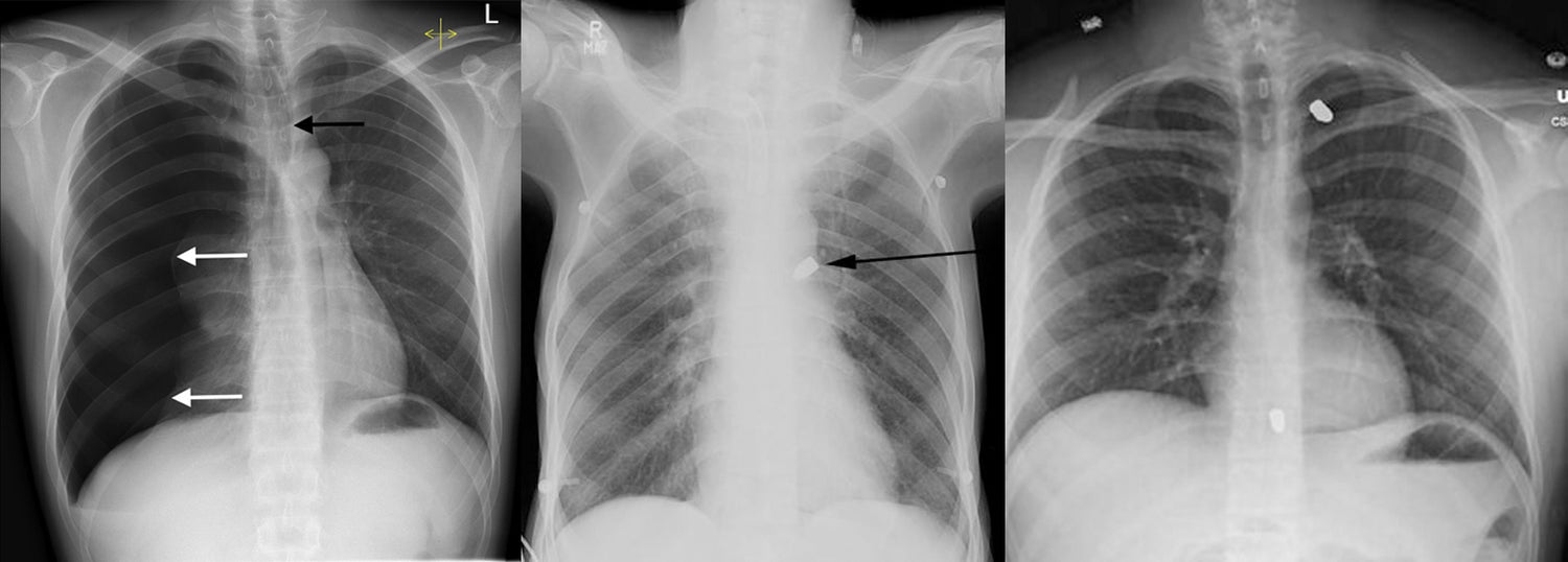
ThoraSite is an anatomical landmark guide, designed to provide a safer approach to the pleural space by pinpointing the procedure site. The device aids in identifying the appropriate intercostal space for lateral thoracostomies and similar procedures. ThoraSite is non-sterile and intended to be single-use.





